NK 細胞是人體先天性免疫細胞的核心細胞,被認為是人體健康的“第一道防線”。
與同屬先天性免疫細胞家族的中性粒細胞、巨噬細胞等相比,NK 細胞清除細菌、抵御病毒的范圍更加廣泛。
與獲得性免疫細胞 T 細胞相比,NK 細胞在預見“敵人”入侵這件事上反應更加靈敏;同時“殺敵”更廣譜,不僅限于殺傷腫瘤細胞,更在抵御病毒,抗衰老上有所建樹。
NK 細胞經改造后的 CAR-NK 殺瘤更精準,療效顯著,發展前景不亞于大紅大紫的 CAR-T 療法。
因 NK 細胞的“免疫記憶”功能,NK 細胞在腫瘤疫苗等領域被寄予厚望。

一、“全能型”NK 細胞
NK 細胞是人體免疫細胞大家族中的一個重要成員,常年戰斗在保衛人體健康的第一道防線上,它不需要被激活就能直接上陣殺敵,因反應機警、殺敵廣譜常被稱為免疫軍團里的“特警”部隊,人體健康的“第一道防線”。
作為先天性免疫細胞,NK 細胞與其他 150 多種免疫細胞都不同,它不需要接受免疫系統的特殊指令,也不需要其他細胞的配合,自己單獨就能識別并清除病原微生物,是一種兼具免疫監視、免疫應答、免疫記憶三大功能于一身的“全能型”免疫細胞。

二、NK 細胞來源
NK 細胞確切的來源還不十分清楚,一般認為直接從骨髓中衍生,其發育成熟依賴于骨髓的微環境。小鼠和人的體外實驗表明,胸腺細胞在體外 IL-2 等細胞因子存在條件下培養也可誘導出 NK 細胞。小鼠脾臟在體內 IL-3 誘導下可促進 NK 細胞的分化。NK 細胞主要分布于外周血中,占 PBMC 5~10%,淋巴結和骨髓中也有 NK 活性,但水平較外周血低。
由于 NK 細胞具有部分 T 細胞分化抗原,如 80~90%NK細胞CD2+,20~30%NK細胞CD3+(表達 CD3ζ 鏈),30%NK細胞CD8+(α/α)和 75~90%NK細胞CD38+,而且 NK 細胞具有 IL-2 中親和性受體,在 IL-2 刺激下可發生增殖反應,活化 NK 細胞可產生 IFN-γ,因此一般認為 NK 細胞與 T 細胞在發育上關系更為密切。
三、預防癌癥:精準排查癌細胞,不錯過一個漏網之魚
與其他免疫細胞不同,NK 細胞在識別腫瘤機制上有它特有的方式,甚至可以對其他免疫細胞“遺漏”掉的癌細胞進行精準的“排查”與殲滅。
我們人體每天都會產生約 6000 個癌細胞,負責日夜“監視”這些癌細胞的就是以 NK 細胞為主的先天性免疫細胞,但總會有“漏網之魚”,這是因為癌細胞在不斷變異,擾亂視線,讓一些免疫細胞(中性粒細胞、DC 細胞、巨噬細胞等)無法正確識別并殺死癌細胞。
這個擾亂視線的標志物就是癌細胞獨有的表達物質 MHC-1 類分子,只有在癌細胞表達這個分子時,一些免疫細胞才得以識別出。
但狡猾的癌細胞在生長的早期就會降低 MHC-1 類分子的表達,用來避開免疫系統監視,然而,這種調節會激活 NK 細胞,讓 NK 細胞在早期就能發現和消滅癌細胞。

▲MHC-1 對 NK 細胞的抑制作用
NK 細胞的工作機制是,如果細胞表達的 MHC-1 類分子正常,KIR(抑制性殺傷細吧免疫球蛋白樣受體)表達正常,NK 細胞就不工作。相反,如果 MHC-1 類分子下調,KIR 表達降低,NK 細胞就容易被激活,一些被激活的 NK 細胞受體,如 NKG2D、NKp30、NKp46 和 NKp44,可以識別靶細胞上表達的應激誘導配體,從而為 NK 細胞殺傷靶細胞提供積極的信號,開啟殺傷模式。
所以,當具有表達 MHC-1 類分子較少或缺失的細胞,NK 細胞就被激活,這就是“抗癌第一道防線”的真面目。
四、抗擊癌癥:最有效的廣譜抗癌細胞
NK 細胞具有廣譜的抗腫瘤作用,不顯示腫瘤殺傷的特異性和 MHC 限制性,在機體其它免疫細胞(如 T、B 細胞)功能低下時,NK 細胞的作用尤為重要!
NK 細胞對幾乎所有常見的癌細胞類型都有殺傷作用,包括肺癌、乳腺癌、肝癌、淋巴癌、食道癌等。而 NK 細胞的殺敵方式也不拘泥于一種,它的抗癌機制非常多樣。
除了被激活釋放細胞受體來對抗外敵,NK 細胞還可以通過釋放穿孔素和顆粒酶或通過死亡受體直接殺死癌細胞;同時還可以通過分泌細胞因子和趨化因子,調節先天性和獲得性免疫細胞間接殺死病變細胞;另外,NK 細胞還能夠與腫瘤細胞表面的抗體相結合,發揮細胞毒性作用殺死靶細胞。
這些都是 NK 細胞抗癌的作用機制,由于 NK 細胞抗癌的廣譜性,近年來關于 NK 細胞用于治療各種癌癥的研究也越來越多。
在最新的研究中,NK 細胞療法已經被廣泛應用于各種癌癥治療,包括:血液系統腫瘤、神經母細胞瘤、卵巢腫瘤、橫紋肌肉瘤、乳腺癌、胃癌等。并在這些研究中取得不錯治療效果。

▲目前正在進行的NK細胞臨床試驗

▲NK細胞療法療效顯著
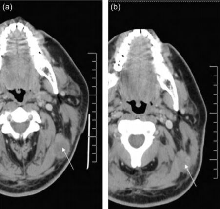
2008 年,美國拉什大學醫學中心的研究人員將外源擴增的 NK 異體細胞注入到黑色素瘤患者體內,結果發現,注入注入 NK 細胞后,該患者左上頸部腫瘤的體積明顯降低(從 3.15cm×2.54cm 減小至 2.46cm×1.76cm)。同時,該研究也為外源擴增的 NK 異體細胞是否可以大規模應用于治療黑色素瘤提供了一定的理論依據。

▲NK細胞治療前后對比圖
五、抗衰老:清除“僵尸細胞”,延長壽命 20%-30%
我們都知道,人的衰老是由于構成人體基本單位的細胞衰老造成的,隨著年齡增長,那些停止生長的細胞在體內不斷積累,形成毫無用處的“僵尸細胞”,久而久之會引起衰老相關疾病,如老年退行性疾病、心血管疾病、惡性腫瘤、組織/器官纖維化、糖尿病、骨質疏松癥、自身免疫性疾病等等。這些疾病都具有非常高的發病率及死亡率,是人類死亡的重要因素。
衰老是體內“僵尸細胞”堆積的結果,作為先天性免疫細胞的核心細胞, NK 細胞正是清除衰老細胞的絕對主力軍。
2016 年 2 月 4 日《自然》雜志刊登了一篇美國梅奧診所分子生物學家 Baker 的最新成果:以 NK 細胞為主的免疫細胞清除衰老細胞可使動物壽命延長 20%-30%。

這些結果還證實,清除這些僵尸細胞會延遲腫瘤形成、保持組織和器官功能,甚至是延長健康壽命的一個有吸引力的方法,且無明顯副作用。
NK 細胞“殺敵”迅速,可在 5 分鐘內將衰老細胞、癌細胞、細菌侵染細胞、病毒侵染細胞殲滅,同時可以活化吞噬細胞,增加它對衰老細胞的清理能力,高效密集地保衛我們的身體不受侵害,從而達到延緩衰老、保持年輕態的目的。
另外,還有研究顯示,與健康人相比,癌癥患者體內的 NK 細胞活性通常有明顯的降低,因此,有效增加 NK 細胞數量,提高細胞活性被認為是可以直接提升癌癥患者免疫力的重要因素。

論文指出,隨著年齡增加,特異性免疫中發揮細胞免疫功能的 T 細胞不管是在數量上,還是功能上均發生不同程度的降低;而 NK 細胞尤其在維持老年人健康上,保持抗感染和抗腫瘤功能中發揮著不可替代的作用。
隨著科學界對 NK 細胞更深入的研究,NK 細胞的應用范圍越來越廣泛。在日本,NK 細胞回輸作為腫瘤治療和抗衰保健的有效手段已經常態化;在美國,有關 NK細胞的研究如火如荼;在國內,NK 細胞也已走上臨床研究之路。
盡管 NK 細胞被賦予了更多期望,在抗腫瘤領域展現出非凡前景,但仍然也存在一些問題和挑戰,相信隨著科學不斷發展,NK 細胞未來必將在防癌抗癌等領域得到更廣泛的應用。
免責聲明:
我們尊重原創,也注重分享。部分圖文來源網絡,版權歸原作者所有,如涉及作品內容、版權或其它問題,請聯系我們刪除!


閩公網安備 35020602002648 號
QQ 客服